لمینت دندان در لاهیجان

لمینت دندان یکی از بهترین روش‌ها برای زیباسازی لبخند و اصلاح ظاهر دندان‌ها است. این روش که به عنوان روکش‌های نازک و سفارشی‌شده بر روی سطح دندان‌ها قرار می‌گیرد، به بهبود رنگ، شکل و اندازه دندان‌ها کمک می‌کند. اگر به دنبال خدمات تخصصی و باکیفیت لمینت دندان در لاهیجان هستید، کلینیک دکتر مریم مهاجرفر با بهره‌گیری از جدیدترین تکنولوژی‌ها و مواد باکیفیت، آماده است تا لبخندی درخشان و طبیعی را به شما هدیه دهد. این خدمات برای افرادی که از رنگ یا ناهماهنگی دندان‌های خود ناراضی هستند، گزینه‌ای ایده‌آل محسوب می‌شود.

در کلینیک دکتر مریم مهاجرفر، خدمات لمینت دندان در لاهیجان به صورت کاملاً تخصصی و متناسب با نیازهای فردی هر بیمار ارائه می‌شود. لمینت‌ها علاوه بر افزایش زیبایی دندان‌ها، می‌توانند مشکلاتی مانند لکه‌های مقاوم به سفیدکننده، فاصله بین دندان‌ها، و ناهماهنگی‌های خفیف را برطرف کنند. این روش غیرتهاجمی است و در کوتاه‌ترین زمان ممکن لبخند ایده‌آل شما را به ارمغان می‌آورد.

لمینت‌های دندان علاوه بر ظاهر طبیعی، بسیار بادوام هستند و با رعایت نکات بهداشتی می‌توانند سال‌ها بدون تغییر باقی بمانند. همچنین این روش نیازی به جراحی ندارد و بیمار می‌تواند پس از انجام لمینت، به راحتی غذا بخورد و صحبت کند. در کلینیک دکتر مهاجرفر، لمینت دندان با استفاده از مواد سرامیکی باکیفیت بالا انجام می‌شود تا نتیجه‌ای ماندگار و زیبا برای شما فراهم شود.

برای اطلاعات بیشتر در خصوص خدمات لمینت دندان در لاهیجان و دریافت مشاوره رایگان، با کلینیک تماس بگیرید و اولین قدم را برای داشتن لبخندی زیبا و جذاب بردارید.

لمینت دندان در لاهیجان

لمینت دندان چیست؟

لمینت دندان، روکش‌های نازکی از جنس سرامیک یا کامپوزیت هستند که برای بهبود ظاهر دندان‌ها روی سطح جلویی آن‌ها قرار می‌گیرند. این روش یکی از پرطرفدارترین تکنیک‌های زیبایی دندان است که به اصلاح مشکلاتی مانند تغییر رنگ، شکستگی، فاصله بین دندان‌ها و ناهماهنگی‌های جزئی کمک می‌کند. لمینت دندان به دلیل شباهت زیاد به دندان‌های طبیعی و دوام بالای خود، انتخابی محبوب برای افرادی است که به دنبال لبخندی زیبا و بی‌نقص هستند.

در کلینیک دکتر مریم مهاجرفر در لاهیجان، لمینت دندان با استفاده از مواد باکیفیت و تکنیک‌های پیشرفته انجام می‌شود تا بیمار بتواند نتیجه‌ای درخشان و ماندگار را تجربه کند. لمینت دندان علاوه بر زیباسازی لبخند، به افزایش اعتمادبه‌نفس شما کمک کرده و جلوه‌ای طبیعی به دندان‌ها می‌بخشد. این روش سریع و غیرتهاجمی است و در مدت زمان کوتاهی می‌تواند ظاهر دندان‌های شما را بهبود بخشد.

مزایا و ویژگی‌های لمینت دندان در لاهیجان

لمینت دندان یکی از محبوب‌ترین روش‌های زیبایی دندان است که به دلیل نتایج درخشان و طبیعی خود توجه بسیاری از افراد را جلب کرده است. در کلینیک دکتر مریم مهاجرفر در لاهیجان، خدمات لمینت دندان با بهترین کیفیت ارائه می‌شود. از مهم‌ترین مزایای این روش می‌توان به موارد زیر اشاره کرد:

  • بهبود ظاهر دندان‌ها: لمینت دندان برای افرادی که از لکه‌ها، تغییر رنگ یا ناهماهنگی در دندان‌های خود رنج می‌برند، بهترین راه‌حل است.
  • غیرتهاجمی بودن: این روش نیازی به جراحی یا تراش زیاد دندان ندارد و در کوتاه‌ترین زمان ممکن انجام می‌شود.
  • دوام و استحکام بالا: لمینت‌های باکیفیت ارائه‌شده در کلینیک دکتر مهاجرفر، عمر طولانی دارند و با مراقبت مناسب تا سال‌ها زیبایی خود را حفظ می‌کنند.
  • طبیعی بودن ظاهر: لمینت‌ها با دقت بالا طراحی می‌شوند تا کاملاً با سایر دندان‌ها هماهنگ باشند و ظاهری طبیعی ایجاد کنند.
  • افزایش اعتمادبه‌نفس: داشتن دندان‌هایی سفید و هماهنگ تأثیر بسزایی در لبخند شما و اعتمادبه‌نفس روزمره‌تان دارد.

بیشتر بخوانید:طبیعی بودن لمینت دندان | چگونه مطمئن شویم لمینت دندان ما طبیعی به نظر می‌رسد؟

مراحل انجام لمینت دندان در لاهیجان

لمینت دندان یک فرآیند دقیق و تخصصی است که در چند مرحله انجام می‌شود. در کلینیک دکتر مریم مهاجرفر در لاهیجان، این مراحل با دقت بالا و با هدف ارائه بهترین نتیجه برای بیماران انجام می‌گردد. مراحل لمینت دندان به شرح زیر است:

  1. مشاوره و معاینه اولیه
    در اولین مرحله، دندان‌پزشک وضعیت دندان‌های شما را بررسی کرده و با توجه به نیازها و انتظارات شما، بهترین طرح درمان را ارائه می‌دهد. همچنین رنگ و شکل لمینت مورد نظر در این جلسه تعیین می‌شود.

  2. آماده‌سازی دندان‌ها
    در این مرحله، دندان‌ها برای قرار گرفتن لمینت آماده می‌شوند. ممکن است نیاز به تراش جزئی سطح جلویی دندان باشد تا فضای کافی برای نصب لمینت ایجاد شود. این تراش بسیار کم است و آسیبی به ساختار اصلی دندان وارد نمی‌کند.

  3. قالب‌گیری از دندان‌ها
    پس از آماده‌سازی، قالب‌گیری دقیق از دندان‌ها انجام می‌شود. این قالب به لابراتوار ارسال می‌شود تا لمینت‌های سفارشی با توجه به ابعاد و شکل دندان‌های شما ساخته شوند.

  4. ساخت لمینت‌ها در لابراتوار
    لمینت‌ها با استفاده از مواد باکیفیت و با دقت بالا در لابراتوار طراحی و ساخته می‌شوند. این مرحله ممکن است چند روز زمان ببرد.

  5. نصب لمینت دندان
    پس از آماده شدن لمینت‌ها، دندان‌پزشک آن‌ها را به دقت روی دندان‌ها قرار داده و با استفاده از چسب مخصوص، آن‌ها را محکم می‌کند. سپس دندان‌ها با اشعه مخصوص تثبیت می‌شوند.

  6. بررسی و تنظیم نهایی
    در آخرین مرحله، لمینت‌ها از نظر راحتی و زیبایی بررسی می‌شوند. در صورت نیاز، تنظیمات نهایی انجام می‌شود تا نتیجه کاملاً رضایت‌بخش باشد.

قیمت لمینت دندان در لاهیجان

هزینه لمینت دندان در لاهیجان به عوامل مختلفی بستگی دارد، از جمله نوع لمینت، کیفیت مواد استفاده‌شده، تعداد دندان‌هایی که قرار است لمینت شوند و تجربه دندان‌پزشک. همچنین، انتخاب مواد سرامیکی یا کامپوزیتی می‌تواند تأثیر مستقیمی بر هزینه نهایی داشته باشد. در کلینیک دکتر مریم مهاجرفر در لاهیجان، خدمات لمینت دندان با توجه به نیازهای بیماران و با استفاده از بهترین تکنیک‌ها و مواد ارائه می‌شود. برای اطلاع از هزینه‌های دقیق و دریافت مشاوره تخصصی، با کلینیک تماس بگیرید و راهنمایی کامل دریافت کنید

بهترین دندانپزشک لمینت دندان در لاهیجان

اگر به دنبال بهترین دندانپزشک لمینت دندان در لاهیجان هستید،  دکتر مریم مهاجرفر با تجربه و مهارت خود یکی از برترین گزینه‌ها برای شما است. دکتر مهاجرفر با بهره‌گیری از تکنیک‌های پیشرفته، مواد باکیفیت و توجه به نیازهای بیماران، خدمات لمینت دندان در لاهیجان را به گونه‌ای ارائه می‌دهد که نتیجه‌ای طبیعی، زیبا و ماندگار داشته باشد.

در کلینیک دکتر مهاجرفر، تمامی مراحل لمینت دندان، از مشاوره و طراحی لبخند تا نصب نهایی، با دقت و حساسیت بالا انجام می‌شود تا هر زیباجو تجربه‌ای بی‌نظیر از داشتن لبخندی جذاب و درخشان را به دست آورد. توجه به جزئیات، استفاده از جدیدترین متدهای روز دنیا و ارائه خدمات شخصی‌سازی‌شده، این کلینیک را به یکی از مراکز پیشرو در خدمات لمینت دندان در لاهیجان تبدیل کرده است.

برای دریافت مشاوره و آگاهی از جزئیات خدمات لمینت دندان در لاهیجان، کافی است با کلینیک تماس بگیرید و لبخند رویایی خود را به واقعیت تبدیل کنید.

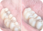
عکس

نمونه کارهای لمینت دندان در مرکز تخصصی لمینت دندان لاهیجان

مراقبت ها

مراقبت های لمینت دندان

رعایت بهداشت دهان و دندان

مسواک زدن حداقل دو بار در روز و استفاده از نخ دندان برای جلوگیری از تجمع پلاک ضروری است.

اجتناب از مصرف مواد سخت

از جویدن مواد سخت مانند یخ، آجیل‌های سفت یا باز کردن اشیا با دندان پرهیز کنید تا لمینت آسیب نبیند.

پرهیز از مصرف بیش از حد مواد رنگی

نوشیدنی‌هایی مانند قهوه، چای و نوشابه ممکن است باعث تغییر رنگ لمینت شوندمصرف آن‌ها را کاهش دهید یا بعد از مصرف دهان خود را شستشو دهید.

مراجعه منظم به دندان‌پزشک

برای بررسی وضعیت لمینت‌ها و تمیز کردن حرفه‌ای دندان‌ها، به طور منظم به دندان‌پزشک خود مراجعه کنید.

کلینیک

آدرس کلینیک تخصصی لمینت دندان لاهیجان

لاهیجان تقاطع خیابان بهشتی و نیما، ساختمان تریتا طبقه هفتم واحد ۵

شماره تماس:

۰۱۳۴۲۲۳۷۶۱۳

شماره تماس:

093344448159

ساعات کاری:

همه روزه 9:00 صبح - 19:00 عصر

دریافت نوبت آنلاین مشاوره لمینت دندان

مزیت ها

مزیت های لمینت دندان در کلینیک دکتر مریم مهاجرفر

ظاهر طبیعی و زیبا

لمینت‌های دندان در کلینیک دکتر مهاجرفر با دقت بالا طراحی می‌شوند تا کاملاً شبیه به دندان‌های طبیعی به نظر برسند.

استفاده از مواد باکیفیت بالا

در این کلینیک، لمینت‌ها از مواد سرامیکی و کامپوزیتی با دوام و استانداردهای بین‌المللی ساخته می‌شوند.

روشی سریع و غیرتهاجمی

فرآیند لمینت دندان در کلینیک دکتر مهاجرفر با حداقل تراش دندان و بدون جراحی انجام می‌شود.

افزایش اعتماد به نفس

با لمینت‌های دندان طراحی‌شده در این کلینیک، لبخندی درخشان و جذاب خواهید داشت که اعتماد به نفس شما را تقویت می‌کند.

مشاوره تخصصی و خدمات شخصی‌سازی‌شده

تیم حرفه‌ای کلینیک دکتر مهاجرفر نیازهای هر بیمار را بررسی کرده و بهترین طرح درمان را ارائه می‌دهد.

مقالات

جدیدترین مقالات

سوالات پر تکرار خدمات لمینت دندان

ایمپلنت دندان با مراقبت مناسب می‌تواند بیش از ۱۵ سال دوام داشته باشد و برخی حتی تا پایان عمر ماندگار هستند.

با مراقبت مناسب، لمینت‌های دندان می‌توانند بین 10 تا 15 سال یا بیشتر دوام داشته باشند.

فرآیند لمینت دندان معمولاً غیرتهاجمی است و بدون درد انجام می‌شود؛ در صورت نیاز از بی‌حسی موضعی استفاده می‌شود.

خیر، اگر توسط دندان‌پزشک ماهر انجام شود، آسیبی به ساختار دندان وارد نمی‌شود و تراش دندان نیز بسیار جزئی است.

لمینت‌های سرامیکی به طور معمول مقاوم در برابر لکه هستند، اما باید از مصرف بیش از حد مواد رنگی مانند قهوه و چای خودداری کرد.

 
دکتر مهاجرفر

35 پاسخ

    1. سلام وقتتون به خیر
      خیر ، لمینت ها از جنس سرامیک هستند و احتمال شکسته شدنشون از کامپوزیت کم تره

    1. سلام وقت شما هم به خیر
      هر دو خوب هستند ولی باید مشکل دندانتون بررسی بشه توسط خانم دکتر تو مشاوره بهتون میگن که برای دندان های شما کدوم مورد انتخاب بهتریه

  1. خانم دکتر بهترین کار لمینت رو شما تو لاهیجان انجام میدید بخدا چندجا رفتم دندونام و خراب کردن الان ولی عالی شده

    1. سلام وقتتون به خیر
      بله امکان هست لطفا پقت مشاوره بگیرید خانم دکتر در مشاوره توضیحات رو در مورد درمان ترکیبی ایمپلنت و لمینت میدن بهتون

  2. من لمینت دندونم رو پیش دکتر مهاجرفر انجام دادم و خیلی راضی‌ام. دندونام خیلی طبیعی و زیبا شدن، اصلاً هم کسی نمی‌فهمه که لمینته. واقعاً ممنونم از شما خانم دکتر عزیز

  3. خانم دکتر مهاجرفر عزیز ممنون بابت لبخند زیبایی که بهم هدیه دادید لمینتام خیلی عالی و طبیعی هستند

  4. بهترین کلینیک تخصصی لمینت دندان در لاهیجان هستین خانم دکتر عزیز، من خیلی از خدماتی که گرفتم راضی هستم

    1. سلام وقتتون به خیر
      برای لمینت دندان تراش نمیخوره اگر هم نیاز به تراش باشه خیلی کم و جزئی هستش

  5. کلینیک دکتر مهاجرفر بهترین و مناسب ترین قیمت لمینت در لاهیجان را دارد با کیفیت مواد مصرفی بالا بسیار راضی بودم از خدمات لمینتی که برام انجام دادن

  6. به دنبال دکتر ایمپلنت در لاهیجان هم هستم و دوست داشتم بدونم که قیمت ایمپلنت دندان در لاهیجان چطور محاسبه میشه؟ ممنون میشم راهنمایی کنید

    1. سلام وقت بخیر؛ در مورد ایمپلنت و هزینه آن به عواملی مثل نوع ایمپلنت، جنس روکش و شرایط دندان شما بستگی دارد. برای دریافت مشاوره دقیق‌تر و اطلاع از قیمت ایمپلنت دندان در لاهیجان، می‌توانید با کلینیک تماس بگیرید. موفق باشید.

  7. لمینت برای دندونهایی که کمی شکستگی یا لب پریدگی دارن هم قابل استفاده‌ست یا لازمه اول ترمیم بشن؟

    1. بله در بیشتر موارد لمینت دندان می‌تونه شکستگیهای جزئی یا لب پریدگی رو به خوبی پوشش بده اما اگر آسیب خیلی عمیق باشه ممکنه قبل از لمینت نیاز به ترمیم اولیه باشه برای بررسی دقیقتر حتما یه معاینه حضوری پیشنهاد می‌شه

  8. به نظرم مجهزترین کلینک دندانپزشکی در استان گیلان هستین، واقعا خوشحالم مجبور نیستیم تا تهران بریم برای لمینت

  9. سلام دکتر، من خیلی به لمینت دندان علاقه دارم اما دو تا دندون جلوییم خیلی نازک شده. می‌خواستم بدونم با این شرایط امکان لمینت طبیعی وجود داره یا ممکنه مجبور بشم کامپوزیت انجام بدم؟

    1. سلام
      اگر مینای دندون تون نازک باشه، باز هم در بسیاری از موارد امکان لمینت وجود داره فقط نوع لمینت و میزان تراش باید با دقت بیشتری انتخاب شود تا به دندان آسیبی نرسه. در معاینه حضوری دقیق‌تر مشخص می‌شود که لمینت برای شما مناسب‌تر است یا کامپوزیت.

  10. برای لمینت حتما باید دندون تراش بخوره؟ یا شما بدون تراش هم انجام می‌دین؟

    1. لزوم تراش به فرم و موقعیت دندان‌ها بستگی داره. در خیلی از موارد می‌تونیم با حداقل تراش یا حتی بدون تراش کار رو انجام بدیم. بعد از معاینه، دقیق براتون مشخص می‌کنیم بهترین روش کدومه.

  11. من بین لمینت و کامپوزیت مرددم. دندون‌هام کمی نامرتب و زردن. شما کدومو پیشنهاد می‌کنین که طبیعی‌تر باشه؟

    1. اگر بی‌نظمی دندون‌ها متوسط باشه و تغییر رنگ زیاد، معمولا لمینت سرامیکی ظاهر طبیعی‌تر و ماندگاری بالاتری داره. کامپوزیت هم گزینه خوبیه اما برای موارد خفیف‌تر مناسب‌تره. بعد از معاینه می‌تونیم دقیق‌تر راهنمایی کنیم.

  12. سلام وقت بخیر. من لاهیجان زندگی میکنم و میخوام برای سال نو لمینت انجام بدم ولی نگرانم که نتیجه کار مصنوعی بشه یا بعد از مدتی اذیت ایجاد کنه.

    1. سلام خانم نیلوفر
      نگرانی‌تون کاملا قابل درکه. طراحی لمینت دکترمهاجرفر متناسب با فرم صورت، رنگ دندان و وضعیت لثه انجام میشه و نتیجه طبیعی هست و اذیتی ایجاد نمی‌کنه. قبل از انجام کار، معاینه و طراحی دقیق انجام می‌دیم تا مطمئن بشیم لمینت گزینه مناسبی برای شماست و نتیجه‌ای ماندگار و زیبا بگیرید.

  13. سلام وقت بخیر. من ساکن لاهیجان هستم و می‌خوام لمینت انجام بدم، ولی برام خیلی مهمه که نتیجه کار طبیعی باشه و بعد از مدتی هم لثه‌هام اذیت نشن. قبل از لمینت چه بررسی‌هایی انجام می‌دید که این مشکلات پیش نیاد؟

    1. قبل از لمینت، وضعیت دندان‌ها، سلامت لثه و فرم لبخند به‌طور کامل بررسی می‌شود. اگر لثه یا مینای دندان شرایط مناسبی نداشته باشد، ابتدا درمان لازم انجام می‌دهیم تا نتیجه نهایی طبیعی، ماندگار و بدون عارضه باشد.

دیدگاهتان را بنویسید

نشانی ایمیل شما منتشر نخواهد شد. بخش‌های موردنیاز علامت‌گذاری شده‌اند *