لبخندی زیباتر با استفاده از کامپوزیت برای فاصله دندان ها
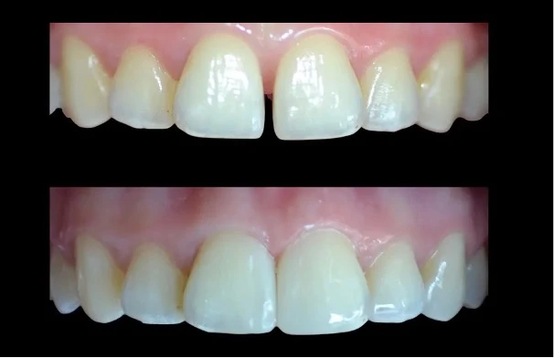
فاصله بین دندانهای که به آن دیاستما گفته میشود، یکی از مشکلاتی است که زیبایی لبخند را کاهش میدهد. این فاصله در بیشتر موارد بین دندانهای جلویی ایجاد میشود و میتوان آن را به روشهای ارتودنسی، لمینت و کامپوزیت اصلاح کرد. از بین این روشها، کامپوزیت به دلیل سرعت اجرای بالاتر و هزینه کمتر، بین مردم طرفداران بیشتری دارد؛ اما آیا استفاده از کامپوزیت برای فاصله دندان ها، روشی تاییدشده است؟ در صفحه از سایت دکتر مهاجرفر، بهعنوان مرکز کامپوزیت دندان لاهیجان به این سوال پرتکرار پاسخ میدهیم.

کامپوزیت دندان چیست و چگونه فاصله دندانها را برطرف میکند؟
کامپوزیت دندان نوعی ماده رزینی همرنگ دندان است که بهصورت مستقیم روی دندانها قرار میگیرد و با نور مخصوص سفت میشود. این ماده معمولا برای اصلاح مشکلات زیبایی دندانها کاربرد دارد و میتوان آن را در یک جلسه بدون نیاز به تراشیدن گسترده دندان انجام داد. کامپوزیت برای فاصله دندان ها نیز کاربرد دارد و میتوان نقص لبخند شما را برطرف کند. فاصله بین دندانها که به آن دیاستما گفته میشود، میتواند به دلایل مختلفی ایجاد شود.
برخی از دلایل ایجاد این فاصله عبارتند از:
- ژنتیک: عوامل وراثتی از دلایل اصلی ایجاد دایستمی هستند و به همین دلیل برخی افراد بهطور طبیعی فاصله بین دندان دارن
- عادات دهانی: برخی عادات مانند مکیدن انگشت در کودکی باعث تغییر موقعیت دندانها میشود
- اندازه فک و دندانها: عدم تناسب اندازه دندانها و فک یا مشکلات لثهای مانند تحلیل لثهها از عوامل شایع این مشکل هستند
مراحل نصب کامپوزیت شامل آمادهسازی سطح دندان و تمیز کردن آن، قرار دادن لایههای نازک کامپوزیت و تاباندن نور مخصوص برای سفت شدن هر لایه است. در پایان، دندانپزشک فرمدهی و پولیش نهایی را انجام میدهد تا ظاهر طبیعی و یکدستی به دندانها بدهد. تمامی این مراحل بدون درد و بهسرعت انجام میشوند و کامپوزیت شکافهای دندانهایتان را بهصورت کامل پوشش میدهد. دقت کنید که این روش برای فاصلههای کوچک تا متوسط بسیار موثر است و در مقایسه با ارتودنسی، سریعتر و بدون نیاز به سیمکشیهای طولانیمدت عمل میکند. همچنین، نسبت به لمینت سرامیکی نیز هزینهای پایینتر دارد و قابلیت ترمیم آسان را فراهم میکند.
چه فاصلههایی را میتوان با کامپوزیت دندان بست؟
| نوع فاصله بین دندانها | امکان استفاده از کامپوزیت | توضیحات تکمیلی |
|---|---|---|
| فاصلههای کوچک (دیاتما جزئی) | ✅ بله | با کامپوزیت بهراحتی و در یک جلسه قابل اصلاح است. |
| فاصلههای متوسط | ✅ بله | نیاز به مهارت طراحی لبخند و در برخی موارد قالبگیری دارد. |
| فاصلههای زیاد | ⚠️ به تنهایی کافی نیست | معمولاً نیاز به ترکیب با درمان ارتودنسی یا روکش دارد. |

مزایای استفاده از کامپوزیت برای فاصله دندان ها
کامپوزیت دندان به دلیل ویژگیهای منحصربهفرد خود به یکی از محبوبترین روشها برای اصلاح فاصله بین دندانها تبدیل شده است. نصب سریع و بدون درد از مهمترین مزایای این روش به شمار میرود و شما میتوانید این خدمات را بدون بیحسی گسترده نیز دریافت کنید.
پس از اجرای کامپوزیت برای فاصله بین دندان ها، شما دوران نقاهت یا پرهیز از مصرف مواد غذایی خاصی نخواهید داشت. البته دقت کنید که شما تنها زمانی میتوانید از مزایای این روش اصلاح لبخند بهرهمند شوید که مجموعهای معتبر را برای دریافت خدمات کامپوزیت انتخاب کنید. ما در کلینیک دکتر مهاجرفر از برترین مواد اولیه برای بهبود زیبایی دندانهای شما استفاده میکنیم.
برخی از مزایای اجرای این نوع کامپوزیت عبارتند از:
- هزینه مقرونبهصرفه: نسبت به سایر روشهای زیبایی دندان مانند لمینت و ارتودنسی، کامپوزیت قیمتی مناسبتر دارد
- عدم تراشیدن دندانها: برخلاف لمینت سرامیکی که نیاز به تراشیدن بخشی از مینای دندان دارد، کامپوزیت بدون آسیب به ساختار اصلی دندان قابل انجام است
- قابلیت ترمیم: در صورت لبپریدگی یا تغییر رنگ، ترمیم کامپوزیت سریع و با هزینهای اندک قابل انجام است
- نتایج فوری: کامپوزیت ظاهری طبیعی دارد و بهسرعت قابل اجرا است تا شما بتوانید بلافاصله پس از اتمام کار، از لذت داشتن لبخندی یکدست و زیبا بهرهمند شوید.

مراقبتهای بعد از کامپوزیت دندان برای حفظ زیبایی و دوام آن
استفاده از کامپوزیت برای فاصله دندان ها باعث میشود که شما لبخندی زیباتر داشته باشید و به همین دلیل باید برخی نکات را برای نگهداری از آن رعایت کنید. بافت کامپوزیت در صورت عدم مراقبت مناسب دچار تغییر رنگ یا آسیب میشود و در نتیجه شما مجبور به پرداخت هزینه مجدد خواهید شد. البته کامپوزیت قابلیت ترمیم دارد و در صورت بروز مشکل میتوانید به دندانپزشک مراجعه کنید.
| مورد مراقبتی | توضیحات کاربردی |
|---|---|
| پرهیز از غذاهای سفت | تا چند روز اول از جویدن خوراکیهای سفت مثل تهدیگ، یخ یا آجیل پرهیز کنید تا کامپوزیت آسیب نبیند. |
| استفاده منظم از نخ دندان | نخ دندان را بهآرامی بین دندانها بکشید تا هم به لثه آسیب نزنید و هم کامپوزیت شل نشود. |
| استفاده از مسواک مخصوص | از مسواکهای نرم با طراحی مخصوص دندانهای ترمیمشده استفاده کنید تا ساییدگی کامپوزیت ایجاد نشود. |
| اجتناب از نوشیدنیهای رنگی | تا ۴۸ ساعت از نوشیدن قهوه، چای و نوشابههای رنگی خودداری کنید تا رنگ کامپوزیت تغییر نکند. |
| مراجعه دورهای به دندانپزشک | هر ۶ ماه برای بررسی وضعیت کامپوزیت و جرمگیری مراجعه داشته باشید تا ماندگاری آن بیشتر شود. |

بهترین خدمات کامپوزیت برای فاصله دندان ها را از دکتر مهاجرفر بخواهید
دکتر مهاجرفر، بهعنوان بهترین دندانپزشک کامپوزیت در لاهیجان خدمات پوششدهی دیاستما با مواد درجهیک را برای شما اجرا میکند. ما در مطب دندانپزشکی دکتر مهاجرفر، به ارائه خدمات باکیفیت تاکید داریم و کامپوزیت فاصله بین دندانها را با قیمت مقرونبهصرفه انجام میدهیم. خدمات کامپوزیت مجموعه ما بهسرعت ارائه میشوند و با اثربخشی فوری، زیبایی لبخند را به چهره شما بازمیگردانند. شما میتوانید برای رزرو وقت معاینه و اطلاع از قیمت کامپوزیت دندان در لاهیجان با تیم روابط عمومی ما تماس بگیرید.
سوالات متداول
آیا کامپوزیت برای فاصله دندان ها برای هر کسی مناسب است؟
بله؛ این نوع کامپوزیت دندان برای هر کسی که دارای شکاف بیندندانی است مناسب است و بهعنوان راهحلی سریع و غیرتهاجمی شناخته میشود.
اجرای کامپوزیت دندان چقدر زمان میبرد ؟
در بیشتر موارد، اجرای کامپوزیت دندان در یک جلسه انجام میشود و این خدمات حداکثر حدود 60 دقیقه زمان میبرد. البته گاهی اوقات لازم است که دندانهای زیر کامپوزیت ترمیم شوند که این مساله در مدت زمان جلسه تاثیرگذار است.
آیا کامپوزیت برای شکاف بین دندانها طبیعی به نظر میرسد؟
بله؛ کامپوزیت دندان به دلیل استفاده از مواد همرنگ دندان بسیار طبیعی به نظر میرسد و تفاوت آن با دندانهای اصلی قابل تشخیص نیست.
2 پاسخ
من همیشه از فاصله بین دندونام خجالت میکشیدم. با خوندن مقالهتون فهمیدم که کامپوزیت برای بستن فاصله دندونها راه سادهای داره. واقعاً ممنون بابت توضیحات کاملتون.
من چند ماه پیش فاصله دندونهام رو با کامپوزیت بستم. نتیجه خیلی طبیعی شد و لبخندم تغییر زیادی کرد. خواستم اینجا تجربه مثبتمو به اشتراک بذارم.