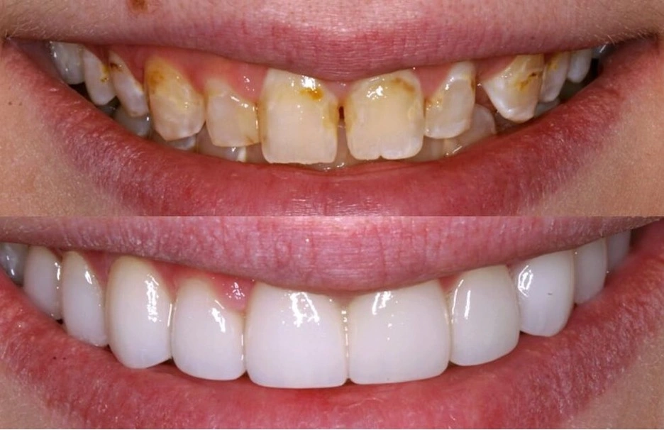
تغییر چهره بعد از کامپوزیت یکی از دغدغههای اصلی افرادی است که قصد دارند طرح لبخند خود را اصلاح کنند. بسیاری از مراجعان میپرسند آیا این درمان زیبایی فقط بر روی دندانها اثر میگذارد یا میتواند فرم لب و حتی گونهها را نیز تغییر دهد؟ واقعیت این است که کامپوزیت دندان تنها یک روش ترمیمی ساده نیست، بلکه با ایجاد تغییر در نحوه قرارگیری دندانها، تناسب فک و فرم لبخند، میتواند تأثیر چشمگیری در ظاهر کلی صورت داشته باشد. اما این تغییرات تا چه حد علمی و ماندگار هستند و چه عواملی شدت آنها را تعیین میکنند؟
اگر شما هم به فکر انجام این درمان هستید، باید بدانید که عوامل مختلفی مانند ضخامت لایه کامپوزیت، تکنیک دندانپزشک، ساختار اولیه دندانها و حتی هماهنگی با فرم صورت، همگی در شکلگیری نتیجه نهایی تأثیرگذارند. در همین راستا، انتخاب کلینیک معتبر و متخصص باتجربه اهمیت بسیار زیادی دارد. برای مثال، جهت اطلاع از خدمات تخصصی و قیمت کامپوزیت دندان در رشت میتوانید به کلینیک دکتر مهاجرفر مراجعه کنید و با مشاوره علمی، تصمیمی آگاهانه بگیرید.
نقش ساختار دندانها در تغییر فرم لب و گونه پس از کامپوزیت
یکی از مهمترین عواملی که در تغییر چهره بعد از کامپوزیت تأثیر دارد، ساختار اولیه دندانهاست. دندانهای کوتاه، ساییده یا نامرتب، اغلب باعث کاهش برجستگی لبها و حتی افتادگی خفیف گونهها میشوند. زمانی که دندانها با کامپوزیت بازسازی میشوند، طول و حجم آنها افزایش یافته و به لبها و گونهها پشتیبانی بهتری میدهند. این موضوع بهویژه در افرادی که دندانهای جلو بیش از حد ساییده یا عقبرفته دارند، بهوضوح دیده میشود.
به گفته متخصص ترمیمی و زیبایی:
بازسازی صحیح دندانها با کامپوزیت میتواند نهتنها لبخند، بلکه خطوط اطراف دهان و تقارن گونهها را نیز اصلاح کند. این تغییرات معمولا ظریف هستند، اما همین تغییرات جزئی تأثیر چشمگیری در جذابیت چهره ایجاد میکنند.

تأثیر ضخامت و طراحی کامپوزیت بر هماهنگی لبخند با چهره
طراحی کامپوزیت یکی از مراحل کلیدی در دستیابی به لبخند طبیعی است. اگر ضخامت لایه کامپوزیت بیش از اندازه باشد، لبها جلوتر از حد طبیعی قرار میگیرند و ظاهری غیرطبیعی ایجاد میکنند. در مقابل، اگر کامپوزیت بیشازحد نازک یا بدون توجه به فرم فک ساخته شود، نه تنها تغییر مطلوبی ایجاد نمیشود، بلکه ممکن است چهره خسته یا پیرتر به نظر برسد.
دندانپزشک زیبایی با استفاده از اصول Smile Design، باید هماهنگی دندانها را با خطوط لب، فرم فک و حتی نسبت طلایی صورت بررسی کند. به همین دلیل است که متخصصان توصیه میکنند قبل از انجام کامپوزیت، حتما جلسه مشاوره طراحی دیجیتال لبخند (DSD) انجام شود تا خروجی کار با چهره هماهنگی کامل داشته باشد.
آیا تغییر فرم لب بعد از کامپوزیت موقتی است یا دائمی؟
تغییرات ایجادشده در فرم لب و گونه پس از کامپوزیت معمولا نیمهدائمی هستند. دلیل این موضوع آن است که خودِ کامپوزیتها ماندگاری محدودی بین ۵ تا ۱۰ سال دارند (بسته به جنس مواد و مهارت دندانپزشک). در طول این مدت، فرم جدید دندانها بهطور مداوم به لبها و گونهها پشتیبانی میدهد و ظاهر فرد را تغییر میدهد. اما با گذشت زمان و نیاز به ترمیم یا تعویض کامپوزیت، این تغییرات نیز ممکن است دستخوش تغییر شوند.
به بیان استاد دانشگاه علوم پزشکی تهران:
کامپوزیت دندان باعث تغییر دائمی فرم لب نمیشود، بلکه اثر آن به ماندگاری مواد بستگی دارد. با این حال، در بسیاری از بیماران حتی تغییرات موقتی هم بهقدری چشمگیر هستند که اعتمادبهنفس و جذابیت ظاهری را افزایش میدهند.
عوامل مؤثر بر تغییر چهره بعد از کامپوزیت
| عامل | تأثیر بر فرم لب | تأثیر بر گونه | ماندگاری تغییرات | توضیحات تخصصی |
| ساختار اولیه دندانها | افزایش یا کاهش برجستگی لب | اصلاح افتادگی گونه | طولانیمدت (تا زمان حفظ کامپوزیت) | در افراد با دندان ساییده اثر بیشتری دارد |
| ضخامت کامپوزیت | بیشازحد ضخیم → لب جلو آمده / نازک → بدون تغییر محسوس | غیرمستقیم (با تغییر موقعیت لب) | وابسته به کیفیت ترمیم | طراحی دقیق اهمیت زیادی دارد |
| طراحی لبخند (Smile Design) | هماهنگی لب با خطوط دندان | بهبود تناسب نیمرخ | ماندگار تا زمان تعویض کامپوزیت | استفاده از نرمافزارهای DSD توصیه میشود |
| جنس مواد کامپوزیت | ایجاد سطح صاف و طبیعیتر برای لب | تغییر غیرمستقیم | متوسط (۵–۱۰ سال) | مواد مرغوب در تغییرات ظاهری مؤثرترند |

عوامل مؤثر در طبیعی بودن لبخند پس از کامپوزیت دندان
یکی از دغدغههای اصلی بیماران هنگام انجام ترمیمهای زیبایی این است که نتیجه کار مصنوعی به نظر نرسد. در واقع، طبیعی بودن لبخند پس از کامپوزیت دندان به چند عامل کلیدی وابسته است:
طراحی دیجیتال لبخند (Digital Smile Design)
پیش از شروع کار، متخصص با استفاده از نرمافزارهای تخصصی نسبتها، انحنای لبها و تناسب صورت با دندانها را بررسی میکند. این مرحله تضمین میکند که دندانها بهطور هماهنگ با فرم لب و گونه طراحی شوند.
ضخامت و تکنیک لایهگذاری کامپوزیت
اگر ضخامت لایهها بهدرستی انتخاب نشود، دندانها بیشازحد جلو آمده یا برعکس، تخت و بیروح به نظر میرسند. تکنیکهای جدید مانند Layering Technique امکان بازسازی رنگ و شفافیت طبیعی مینای دندان را فراهم میکنند.
انتخاب رنگ مناسب کامپوزیت
انتخاب رنگ (Shade) باید با توجه به رنگ پوست، چشمها و حتی سن بیمار انجام شود. دندانهای بیشازحد سفید میتوانند غیرطبیعی و مصنوعی به نظر برسند.
مهارت دندانپزشک و استفاده از مواد باکیفیت
به گفته دکتر سمیعی (متخصص ترمیمی):
حتی بهترین مواد کامپوزیتی در صورت استفاده نادرست میتوانند ظاهری مصنوعی ایجاد کنند. مهارت دندانپزشک در فرمدهی و پولیش نهایی، مهمترین عامل طبیعی بودن لبخند است.
تجربه بیماران؛ تغییرات واقعی چهره بعد از کامپوزیت دندان
بسیاری از بیماران گزارش کردهاند که پس از انجام کامپوزیت دندان، نه تنها لبخندشان زیباتر شده بلکه چهره کلی آنها نیز تغییر مثبت داشته است. بهعنوان نمونه:
مورد اول – بیمار ۳۵ ساله با دندانهای ساییده:
این بیمار پس از کامپوزیت گزارش کرد که لبهایش پرتر دیده میشود و خطوط اطراف دهان کمتر به نظر میرسد. همکارانش متوجه شده بودند که چهرهاش جوانتر و شادابتر شده است.
مورد دوم – بیمار ۲۷ ساله با دندانهای نامرتب:
با اصلاح شکل دندانهای جلو، لبخند بیمار هماهنگتر شد و او اذعان داشت که اعتمادبهنفسش در محیطهای اجتماعی افزایش چشمگیری یافته است.
مورد سوم – بیمار ۴۲ ساله با رنگ دندان تیره:
با انتخاب رنگ متناسب با پوست و استفاده از لایهگذاری چندرنگ، نتیجه نهایی کاملا طبیعی و درخشان شد. خود بیمار میگفت: کسی باور نمیکند دندانهایم کامپوزیت است.
این تجربهها نشان میدهد که تغییر چهره بعد از کامپوزیت میتواند subtle (ظریف) اما تأثیرگذار باشد. بیماران اغلب بهبود فرم لب، تقارن صورت و جوانتر شدن ظاهرشان را گزارش میکنند.
نتیجهگیری
طبیعی بودن لبخند پس از کامپوزیت به ترکیبی از عوامل علمی و هنری وابسته است؛ از طراحی دیجیتال و انتخاب رنگ مناسب گرفته تا مهارت دندانپزشک در اجرا. تجربه بیماران نیز نشان میدهد که تغییرات حاصل از این درمان، علاوه بر زیبایی لبخند، باعث بهبود کلی در چهره و افزایش اعتمادبهنفس میشود. اگر به دنبال یک تغییر مطمئن و اصولی هستید، انتخاب کامپوزیت دندان لاهیجان در کلینیک دکتر مهاجرفر میتواند بهترین گزینه برای شما باشد.
سوالات متداول
آیا کامپوزیت دندان باعث برجسته شدن لبها میشود؟
بله، در برخی موارد کامپوزیتهای دندانی میتوانند باعث بیرونزدگی جزئی دندانها شوند که در نتیجه، لب بالا کمی برجستهتر به نظر میرسد.
تغییر فرم صورت بعد از کامپوزیت طبیعی است؟
تغییرات معمولاً جزئی و ظاهری هستند، اما اگر فرم دندانها خیلی جلو بیاید یا طول آنها زیاد باشد، ممکن است ظاهر صورت را تغییر دهد.
آیا میتوان فرم کامپوزیت را به گونهای طراحی کرد که لب و چهره طبیعی باقی بماند؟
بله، یک دندانپزشک ماهر با بررسی نسبتهای صورت شما میتواند طراحی لبخند را بهگونهای انجام دهد که نهتنها ظاهر دندانها زیبا باشد، بلکه هماهنگی چهره نیز حفظ شود.
2 پاسخ
من مدتهاست میخوام کامپوزیت انجام بدم ولی دوستام میگن بعدش حالت لبخند و فرم صورت عوض میشه. واقعا این تغییر تا چه حد طبیعیه؟
برای هر چهره و صورت متفاوته اما تغییر زیادی نیست و اگر کامپوزیت طبیعی انجام بشه فرم صورت هم زیباتر خواهد شد.