تغییر رنگ لثه بعد از ایمپلنت معمولاً به دلیل واکنش طبیعی بافت لثه به جراحی، جریان خون موضعی، یا جنس فیکسچر ایمپلنت رخ میدهد. در بیشتر موارد، این تغییر رنگ موقتی و بیخطر است، اما اگر بیش از دو هفته ادامه پیدا کند یا همراه با درد و تورم باشد، نیاز به بررسی تخصصی دارد. مراجعه به بهترین دکتر ایمپلنت در لاهیجان یعنی دکتر مهاجرفر میتواند از عفونت، پسرفت لثه و سایر عوارض احتمالی جلوگیری کند.
در ادامه، به دلایل علمی و بالینی تغییر رنگ لثه، روشهای تشخیص وضعیت طبیعی از حالت خطرناک، و راهکارهای درمانی و مراقبتی بعد از ایمپلنت میپردازیم.
چرا بعد از ایمپلنت دندان، لثه تیره یا بنفش میشود؟
تغییر رنگ لثه بعد از ایمپلنت معمولاً واکنشی طبیعی بدن به جراحی و تغییرات بافتی در محل کاشت دندان است. در بیشتر موارد، تیرگی یا بنفش شدن لثه به دلیل افزایش جریان خون، ترمیم بافتی یا فشردگی خفیف لثه در اطراف پایه ایمپلنت است و بعد از چند روز برطرف میشود. اما اگر این تغییر رنگ همراه با درد، بوی بد دهان یا تورم باشد، احتمال عفونت یا نکروز بافتی وجود دارد و نیاز به بررسی فوری توسط دندانپزشک دارد.
علت اصلی تغییر رنگ لثه بعد از ایمپلنت چیست؟
تغییر رنگ لثه بعد از ایمپلنت میتواند از چند عامل مختلف ناشی شود که تشخیص آن فقط با بررسی کلینیکی دقیق امکانپذیر است. در ادامه، مهمترین دلایل را بهصورت تخصصی بررسی میکنیم:
واکنش التهابی طبیعی به جراحی:
پس از کاشت ایمپلنت، مویرگهای ناحیه لثه تحریک میشوند تا اکسیژن و مواد مغذی بیشتری برای ترمیم زخم ارسال کنند. این فرایند باعث افزایش جریان خون و در نتیجه، قرمز یا بنفش شدن لثهها در چند روز اول میشود.
قرارگیری سطح فلزی ایمپلنت نزدیک به بافت لثه:
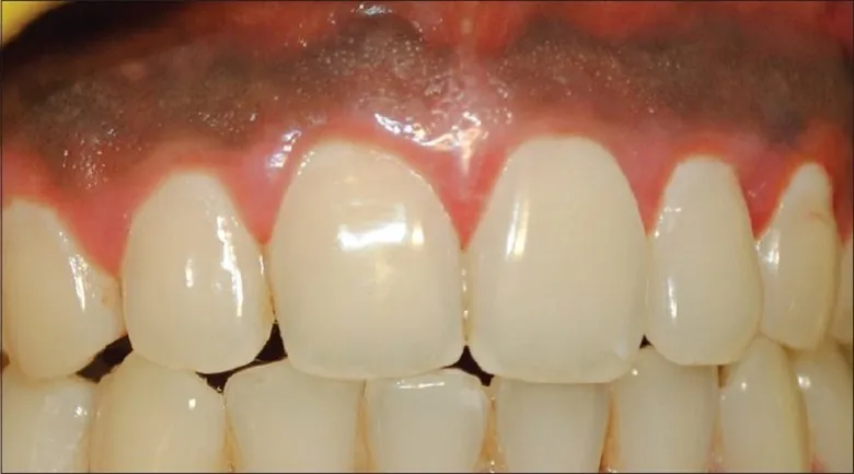
اگر ضخامت بافت لثه کم باشد، رنگ خاکستری یا تیره فلز تیتانیوم میتواند از زیر لثه مشخص شود. این مسئله خطرناک نیست، اما از نظر زیبایی ممکن است برای بیمار ناخوشایند باشد.
عفونت یا نکروز بافت لثه:
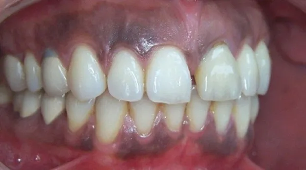
در صورتی که ناحیه ایمپلنت ضدعفونی نشود یا فشار بیش از حد به بافت لثه وارد شود، ممکن است بخشی از بافت دچار کاهش جریان خون یا عفونت شود و رنگ آن به بنفش تیره یا آبی تغییر کند.

حساسیت به آلیاژهای فلزی ایمپلنت:
در موارد نادر، بدن نسبت به ترکیبات خاصی مانند نیکل یا وانادیوم موجود در آلیاژ ایمپلنت واکنش نشان میدهد که منجر به تغییر رنگ و التهاب لثه میشود.
رعایت نکردن بهداشت دهان و دندان بعد از ایمپلنت:
تجمع پلاک و باکتری در اطراف ایمپلنت یکی از دلایل اصلی التهاب مزمن و تغییر رنگ لثه است. استفاده منظم از مسواک مخصوص ایمپلنت و دهانشویه ضدباکتری ضروری است.
چه زمانی تغییر رنگ لثه بعد از ایمپلنت طبیعی است و چه زمانی خطرناک؟
شناخت تفاوت میان تغییر رنگ طبیعی و هشداردهنده بسیار مهم است. جدول زیر به شما کمک میکند وضعیت لثه خود را بهتر ارزیابی کنید:
| وضعیت لثه | رنگ مشاهدهشده | مدت زمان طبیعی | وضعیت احتمالی | اقدام لازم |
| کمی بنفش یا قرمز | ۲ تا ۷ روز پس از جراحی | طبیعی | جریان خون زیاد برای ترمیم بافت | مراقبت معمول و رعایت بهداشت |
| آبی یا خاکستری روشن | تا ۱۴ روز | طبیعی در لثههای نازک | بازتاب رنگ تیتانیوم | نیاز به نگرانی ندارد |
| بنفش تیره یا سیاه | بیش از ۷ روز | غیرطبیعی | احتمال نکروز یا عفونت | مراجعه فوری به دندانپزشک |
| قرمز و متورم همراه با بوی بد | در هر زمان | خطرناک | عفونت باکتریایی یا التهاب حاد | درمان دارویی یا جراحی اصلاحی |
بنابراین، اگر تغییر رنگ لثه بعد از ایمپلنت بیش از دو هفته طول بکشد یا با درد و بوی بد همراه باشد، به احتمال زیاد نشانه عفونت یا رد ایمپلنت است و باید سریعاً به دندانپزشک مراجعه شود.
تفاوت لثه بنفش، آبی و خاکستری بعد از ایمپلنت؛ تشخیص در خانه
تغییر رنگ لثه بعد از ایمپلنت همیشه به معنی بروز مشکل نیست، اما شناخت طیفهای رنگی میتواند به بیمار در تشخیص وضعیت کمک کند:
لثه آبی:
معمولاً ناشی از کاهش موقت اکسیژن در خون مویرگهای سطحی است و اگر در روزهای اول جراحی مشاهده شود، طبیعی است.
لثه بنفش:
میتواند نشانه التهاب فعال یا تجمع خون در بافتهای اطراف ایمپلنت باشد. اگر پس از یک هفته هنوز تغییر رنگ پابرجاست، احتمال فشار بیش از حد پایه ایمپلنت وجود دارد.
لثه خاکستری:
این نوع رنگرفتگی اغلب ناشی از نمایان شدن پایه فلزی ایمپلنت در لثههای نازک است و از نظر پزشکی خطرناک نیست، ولی ممکن است به دلایل زیبایی نیاز به درمان با پیوند لثه داشته باشد.

بر اساس گزارش منتشرشده در مجله Journal of Clinical Periodontology، حدود ۱۲ تا ۱۸ درصد از بیماران ایمپلنت دچار تغییر رنگ یا التهاب موقتی در بافت نرم اطراف ایمپلنت میشوند، اما تنها ۳ تا ۵ درصد از این موارد به درمان تخصصی نیاز پیدا میکنند.
چگونه از تغییر رنگ لثه بعد از ایمپلنت پیشگیری کنیم؟
تغییر رنگ لثه بعد از ایمپلنت در بسیاری از بیماران قابل پیشگیری است، به شرطی که مراقبتهای پس از جراحی با دقت انجام شود. مهمترین اقدامات پیشگیرانه عبارتاند از:
انتخاب پزشک متخصص و استفاده از ایمپلنت استاندارد:
پایههای ایمپلنت بیکیفیت یا نصب ناصحیح، اصلیترین علت بروز التهاب و تغییر رنگ لثه هستند. حتماً از دندانپزشک بخواهید از برندهای معتبر ایمپلنت استفاده کند.
پرهیز از دخانیات و نوشیدنیهای رنگی:
نیکوتین موجود در سیگار و ترکیبات رنگزا در قهوه یا چای تیره، جریان خون لثه را کاهش میدهد و باعث تیرگی ماندگار رنگ لثه میشود.
رعایت دقیق دستورالعملهای پس از جراحی:
از تماس زیاد با ناحیه ایمپلنت و فشار مکانیکی در روزهای اول خودداری کنید. استفاده از مسواک نرم و دهانشویه تجویزشده ضروری است.
انجام معاینات منظم پس از جراحی:
مراجعه هر سه تا شش ماه یکبار به دندانپزشک برای بررسی سلامت بافت لثه به جلوگیری از تغییر رنگ و تحلیل بافتی کمک میکند.

چه زمانی باید به دندانپزشک مراجعه کنیم؟
اگر تغییر رنگ لثه بعد از ایمپلنت از حالت طبیعی فراتر رفت یا با علائم زیر همراه بود، باید فوراً به پزشک مراجعه کنید:
| علامت هشدار | توضیح | اقدام لازم |
| درد مداوم بیش از ۷ روز | ممکن است نشانه عفونت یا رد ایمپلنت باشد | مراجعه فوری به دندانپزشک |
| بوی بد دهان یا مزه فلزی | احتمال تجمع باکتری یا نکروز بافت | بررسی تخصصی |
| خونریزی هنگام مسواک زدن | التهاب فعال لثه (پریایمپلنتیت) | درمان دارویی |
| تورم یا تغییر رنگ سیاه | نشانه نکروز یا عفونت پیشرفته | اقدام اورژانسی |
توصیه مهم: اگر لثه از حالت بنفش یا قرمز به آبی یا سیاه تغییر کند، خوددرمانی نکنید؛ چراکه ممکن است باعث از دست رفتن کامل ایمپلنت شود.
جمعبندی
بهطور خلاصه، تغییر رنگ لثه بعد از ایمپلنت پدیدهای است که در اغلب موارد موقتی و طبیعی است، اما در برخی شرایط میتواند نشانه آسیب یا عفونت باشد. رعایت بهداشت دهان، پرهیز از دخانیات، تغذیه سالم و مراجعه منظم به پزشک، بهترین راههای پیشگیری از این مشکل هستند.
در صورتی که علائم غیرطبیعی مانند تیرگی طولانی، تورم یا درد احساس میکنید، لازم است حتماً با یک متخصص ایمپلنت مشورت کنید.
برای بررسی دقیق وضعیت لثه و درمان تخصصی، میتوانید به کلنیک دکتر مهاجرفر برای ایمپلنت لاهیجان مراجعه کنید و از مشاوره تخصصی در محیطی ایمن و مجهز بهرهمند شوید.
2 پاسخ
حدود دو ماه از کاشت ایمپلنتم گذشته و لثه اطرافش یه کم تیرهتر از قبل شده. این طبیعیه یا ممکنه نشونه مشکلی مثل التهاب باشه؟
باید حتما معاینه انجام بشه و بررسی صورت بگیره