ایمپلنت دندان

زمان مطالعه مقاله

حدود ۵ دقیقه

تاریخ انتشار

۵:۴۰ ب٫ظ

نویسنده

modir

تعداد نظرات کاربران

8 پاسخ ها

صفر تا صد ایمپلنت دندان؛ راهی برای بازگرداندن لبخند طبیعی شما

5/5 - (1 امتیاز)

ایمپلنت دندان چیست؟

ایمپلنت دندان یکی از پیشرفته‌ترین و موثرترین روش‌ها برای جایگزینی دندان‌های از دست رفته است. این روش شامل کاشت یک پایه فلزی (معمولاً از جنس تیتانیوم) در استخوان فک می‌شود که نقش ریشه دندان را ایفا می‌کند. سپس، یک تاج مصنوعی بر روی این پایه قرار می‌گیرد که ظاهری کاملاً شبیه به دندان‌های طبیعی دارد.

ایمپلنت‌ها به دلیل ساختار منحصر به فرد خود، نه تنها جای خالی دندان‌های از دست رفته را پر می‌کنند، بلکه از تحلیل رفتن استخوان فک نیز جلوگیری می‌کنند. پایه فلزی ایمپلنت با استخوان فک ترکیب می‌شود (فرآیندی به نام اُستئواینتگریشن) که استحکام و پایداری فوق‌العاده‌ای را فراهم می‌کند.

انجمن دندان‌پزشکی آمریکا (ADA) بیان می‌کند که ایمپلنت‌های دندانی گزینه‌ای مؤثر برای جایگزینی دندان‌های از دست‌رفته هستند. این ایمپلنت‌ها به‌عنوان پایه‌ای برای دندان‌های جایگزین عمل می‌کنند و می‌توانند به بهبود عملکرد جویدن، گفتار و ظاهر کلی دهان کمک کنند. با این حال، موفقیت ایمپلنت‌ها به عواملی مانند سلامت کلی بیمار، بهداشت دهان و دندان، و تراکم استخوان فک بستگی دارد. مراقبت‌های منظم و مراجعه به دندان‌پزشک برای حفظ و نگهداری ایمپلنت‌ها ضروری است.

ایمپلنت دندان از صفر تا صد

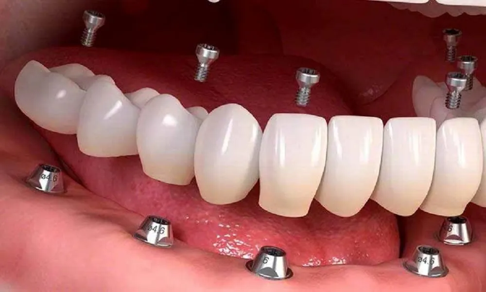
اجزای ایمپلنت دندان از صفر تا صد

  1. پایه ایمپلنت (Fixture):
    بخش فلزی که در داخل استخوان فک کاشته می‌شود و پایه‌ای برای اتصال سایر اجزا است.
  2. اتصال‌دهنده (Abutment):
    قطعه‌ای که بین پایه و تاج قرار می‌گیرد و تاج دندان را به پایه متصل می‌کند.
  3. تاج دندان (Crown):
    بخش ظاهری ایمپلنت که روی اتصال‌دهنده نصب شده و به دندان طبیعی شباهت دارد.

ویژگی‌ها و مزایای ایمپلنت دندان

ویژگی‌های ایمپلنت دندان

  1. ظاهر طبیعی و زیبا:
    ایمپلنت‌های دندان طوری طراحی شده‌اند که به طور کامل با سایر دندان‌های طبیعی هماهنگ هستند و لبخندی طبیعی ایجاد می‌کنند.
  2. ساختار مستحکم و پایدار:
    ایمپلنت‌ها به دلیل کاشته شدن در استخوان فک، استحکام و پایداری بسیار بالایی دارند که امکان جویدن راحت غذاها را فراهم می‌کند.
  3. دوام طولانی‌مدت:
    با مراقبت مناسب، ایمپلنت‌ها می‌توانند سال‌ها و حتی مادام‌العمر دوام داشته باشند.
  4. جنس سازگار با بدن:
    پایه ایمپلنت معمولاً از جنس تیتانیوم ساخته می‌شود که کاملاً با بدن انسان سازگار است و خطر واکنش‌های آلرژیک را به حداقل می‌رساند.
  5. حفظ سلامت استخوان فک:
    ایمپلنت به عنوان جایگزین ریشه دندان عمل می‌کند و از تحلیل رفتن استخوان فک جلوگیری می‌کند.

مزایای ایمپلنت دندان

  1. بازگرداندن عملکرد دندان‌های طبیعی:
    ایمپلنت دندان به شما امکان می‌دهد که مانند دندان‌های طبیعی، به راحتی غذا بخورید، صحبت کنید و لبخند بزنید.
  2. عدم نیاز به تراش دندان‌های مجاور:
    برخلاف بریج‌ها، برای کاشت ایمپلنت نیازی به تراشیدن دندان‌های سالم کناری نیست.
  3. ثبات و راحتی بالا:
    برخلاف پروتزهای متحرک که ممکن است جابجا شوند، ایمپلنت‌ها دائمی هستند و به طور محکم در دهان قرار می‌گیرند.
  4. مراقبت آسان:
    ایمپلنت‌ها نیازی به مراقبت خاصی ندارند و با رعایت بهداشت دهان و دندان مانند مسواک زدن و نخ دندان کشیدن، به راحتی سالم می‌مانند.
  5. جلوگیری از تغییر شکل صورت:
    تحلیل استخوان فک به مرور زمان می‌تواند باعث تغییر شکل صورت شود، اما ایمپلنت از این مشکل جلوگیری می‌کند.

چه کسانی کاندیدای مناسب برای ایمپلنت دندان هستند؟

اما برای انجام ایمپلنت، شرایط خاصی لازم است و همه افراد نمی‌توانند به راحتی این درمان را انجام دهند و باید از نظر سلامت دهان و دندان و وضعیت عمومی بدن خود، شرایط لازم را داشته باشند. در ادامه، به مهم‌ترین ویژگی‌ها و شرایط کاندیدای مناسب ایمپلنت دندان می‌پردازیم:

عدم دندان‌قروچه شدید:
دندان‌قروچه یا فشار زیاد به دندان‌ها می‌تواند به ایمپلنت آسیب بزند. در این موارد، ممکن است دندان‌پزشک استفاده از محافظ شبانه را توصیه کند.

داشتن استخوان فک کافی و سالم:
یکی از شرایط اصلی برای موفقیت ایمپلنت، وجود استخوان فک کافی برای نگهداری پایه ایمپلنت است. اگر استخوان تحلیل رفته باشد، ممکن است نیاز به جراحی پیوند استخوان یا استفاده از تکنیک‌های پیشرفته باشد.

سلامت عمومی مناسب:
افرادی که از نظر سلامتی در وضعیت خوبی قرار دارند و بیماری‌های مزمنی مانند دیابت یا فشار خون آن‌ها کنترل شده است، گزینه بهتری برای ایمپلنت هستند. این موضوع به بهبود سریع‌تر و موفقیت درمان کمک می‌کند.

عدم ابتلا به بیماری‌های شدید لثه:
سلامت لثه‌ها نقش مهمی در موفقیت ایمپلنت دارد. عفونت‌ها یا بیماری‌های پیشرفته لثه می‌توانند مانع جوش خوردن ایمپلنت به استخوان فک شوند.

رعایت بهداشت دهان و دندان:
کسانی که عادت به مراقبت روزانه از دندان‌های خود دارند و به طور منظم به دندان‌پزشک مراجعه می‌کنند، شانس بیشتری برای موفقیت ایمپلنت دارند.

خودداری از استعمال دخانیات:
سیگار کشیدن می‌تواند تأثیر منفی بر فرآیند جوش خوردن ایمپلنت به استخوان بگذارد و خطر شکست درمان را افزایش دهد. افرادی که دخانیات مصرف نمی‌کنند یا قصد ترک آن را دارند، انتخاب بهتری هستند.

صفر تا صد ایمپلنت دندان

چه کسانی مناسب ایمپلنت نیستند؟

افرادی که دچار تحلیل شدید استخوان فک، بیماری‌های کنترل‌نشده مانند دیابت پیشرفته یا عادات نادرست دهانی مانند سیگار کشیدن مداوم هستند، ممکن است گزینه مناسبی برای ایمپلنت نباشند. با این حال، دندان‌پزشک متخصص می‌تواند پس از بررسی دقیق، بهترین تصمیم را برای شما اتخاذ کند.

اگر قصد انجام صفر تا صد ایمپلنت را دارید، مشورت با دندان‌پزشک متخصص می‌تواند به شما کمک کند تا مطمئن شوید شرایط لازم را دارید و درمانی موفق و بدون دردسر خواهید داشت.

مراحل انجام صفر تا صد ایمپلنت دندان

ایمپلنت دندان از صفر تا صد یک فرآیند چند مرحله‌ای و تخصصی است که برای جایگزینی دندان‌های از دست رفته انجام می‌شود. در ادامه هر مرحله به تفصیل توضیح داده شده است:

۱- مشاوره و ارزیابی اولیه

اولین قدم برای ایمپلنت دندان، مراجعه به دندان‌پزشک برای مشاوره و ارزیابی کلی است. در این مرحله:

  • دندان‌پزشک تاریخچه پزشکی شما را بررسی می‌کند تا مطمئن شود که هیچ مشکلی برای انجام ایمپلنت وجود ندارد.
  • از دهان و دندان‌ها عکس‌برداری (مانند رادیوگرافی یا سی‌تی‌اسکن) انجام می‌شود تا وضعیت استخوان فک، موقعیت دندان‌های مجاور و میزان تراکم استخوان مشخص شود.

۲- آماده‌سازی استخوان فک (در صورت نیاز)

اگر استخوان فک شما برای نگهداری پایه ایمپلنت کافی نباشد، باید تقویت شود. این کار معمولاً به روش‌های زیر انجام می‌شود:

  • پیوند استخوان برای ایمپلنت دندان: با اضافه کردن مواد استخوانی یا استفاده از استخوان خود بیمار، حجم و تراکم استخوان افزایش می‌یابد.
  • بالا بردن سینوس: در مواردی که استخوان فک بالا کم‌حجم باشد، سینوس بالا برده می‌شود تا فضای بیشتری برای ایمپلنت فراهم شود. این مرحله بسته به وضعیت استخوان، ممکن است چند ماه زمان ببرد تا استخوان به طور کامل ترمیم شود.

۳- کاشت پایه ایمپلنت               

پس از آماده‌سازی استخوان، پایه ایمپلنت که معمولاً از جنس تیتانیوم است، در داخل استخوان فک کاشته می‌شود. این عمل به شرح زیر انجام می‌شود:

  • بی‌حسی موضعی اعمال می‌شود تا بیمار هیچ دردی احساس نکند.
  • دندان‌پزشک یک برش کوچک در لثه ایجاد می‌کند تا به استخوان فک دسترسی پیدا کند.
  • سوراخ کوچکی در استخوان فک ایجاد می‌شود و پایه ایمپلنت در آن قرار داده می‌شود.
  • لثه بخیه زده می‌شود تا ناحیه جراحی محافظت شود. این مرحله معمولاً حدود 1 تا 2 ساعت زمان می‌برد.

۴- دوره ترمیم و جوش خوردن ایمپلنت (اُستئواینتگریشن)

پس از کاشت پایه ایمپلنت، باید مدتی صبر کرد تا استخوان فک به طور طبیعی با پایه فلزی جوش بخورد. این فرآیند که به آن اُستئواینتگریشن گفته می‌شود، بین 3 تا 6 ماه طول می‌کشد. در این مدت:

  • ایمپلنت با استخوان ترکیب می‌شود و استحکام لازم برای نگهداری تاج دندان را پیدا می‌کند.
  • بیمار باید مراقبت‌های خاصی مانند پرهیز از فشار زیاد روی ایمپلنت و رعایت بهداشت دهان و دندان را انجام دهد.
صفر تا صد ایمپلنت دندان

۵-نصب اتصال‌دهنده (Abutment)

پس از جوش خوردن ایمپلنت با استخوان، قطعه‌ای به نام اتصال‌دهنده یا اباتمنت روی پایه ایمپلنت نصب می‌شود. این قطعه نقش واسطه بین پایه ایمپلنت و تاج دندان را ایفا می‌کند. مراحل نصب اباتمنت شامل:

  • باز کردن لثه برای دسترسی به ایمپلنت
  • نصب اباتمنت روی پایه
  • بستن لثه به گونه‌ای که اطراف اباتمنت به درستی شکل بگیرد.

۶- ساخت و نصب تاج دندان

در آخرین مرحله، تاج دندان که به صورت سفارشی طراحی شده است، روی اباتمنت نصب می‌شود. این مرحله شامل:

  • نصب تاج روی اباتمنت و تنظیم نهایی برای اطمینان از راحتی و عملکرد صحیح. تاج دندان به گونه‌ای طراحی می‌شود که کاملاً با دندان‌های طبیعی بیمار هماهنگ باشد.
  • قالب‌گیری دقیق از دندان‌ها برای طراحی تاج دندان
  • ساخت تاج در لابراتوار، معمولاً از جنس سرامیک یا مواد مشابه
مرحلهتوضیح
مشاوره اولیهبررسی سلامت فک و دندان، عکس‌برداری و تعیین نیاز به پیوند استخوان
جراحی کاشت پایه (فیکسچر)قرار دادن پایه تیتانیومی در استخوان فک و شروع فرآیند جوش خوردن (Osseointegration)
دوره ترمیم۳ تا ۶ ماه برای پیوند کامل پایه با استخوان
نصب اباتمنتمتصل کردن قطعه رابط (اباتمنت) به پایه کاشته شده
قرار دادن روکش نهایینصب روکش سرامیکی یا زیرکونیومی به عنوان دندان نهایی

چه زمانی پیوند استخوان برای ایمپلنت دندان ضروری است؟

پس از کشیدن یک دندان یا مدتی که محل بی‌دندانی طول می‌کشد، بدن به‌طور طبیعی شروع به بازجذب استخوان در آن ناحیه می‌کند؛ فرآیندی که به آن «آتروفی استخوان» گفته می‌شود. این تحلیل استخوان می‌تواند در عرض چند ماه حجم و ارتفاع استخوان را به‌طور قابل‌توجهی کاهش دهد، به طوری که حتی توانایی حمایت از پیچ ایمپلنت را نیز نداشته باشد. وقتی این شرایط رخ دهد، دندانپزشک از روش‌های پیوند استخوان برای ایمپلنت دندان استفاده می‌کند تا استخوان جدید در محل موردنظر شکل بگیرد و قابلیت تحمل نیروهای ایمپلنت را به دست آورد.

علاوه بر تحلیل پس از کشیدن دندان، عوامل دیگری مانند بیماری‌های پریودنتال، عفونت‌های پیشینه‌دار، و تحلیل مزمن استخوان نیز می‌توانند دلیل نیاز به پیوند استخوان برای ایمپلنت دندان باشند. اگر این وضعیت پیش از نصب ایمپلنت اصلاح نشود، احتمال شکست درمان، لق شدن ایمپلنت، و عفونت‌های مزمن افزایش می‌یابد. به همین دلیل، تشخیص درست نیاز به پیوند استخوان و اجرای صحیح آن برای پایه‌ی درمان ایمپلنت ضروری است.

تحقیقی که در یک مطالعه منتشرشده در مجله معتبر Maxillofacial Plastic and Reconstructive Surgery انجام شده، نشان می‌دهد که بیش از ۵۰٪ از محل‌های قرارگیری ایمپلنت به نوعی نیاز به پیوند استخوان داشته‌اند تا سازه‌ی استخوانی برای پذیرش ایمپلنت فراهم شود. این آمار رسمی مشخص می‌کند که مسئله پیوند استخوان برای ایمپلنت دندان صرفا یک گزینه جانبی نیست، بلکه در بسیاری از موارد بخش جدایی‌ناپذیر فرآیند درمان است.

این داده‌ها کمک می‌کند تا بیماران و متخصصان درک بهتری از گستردگی کاربرد پیوند استخوان برای ایمپلنت دندان داشته باشند و اهمیت این مرحله را در رابطه با نتایج نهایی درمان دریابند.

روش‌های ایمپلنت دندان برای شرایط مختلف


وقتی صحبت از جایگزینی دندان‌های از دست‌رفته می‌شود، یکی از اولین سوال‌هایی که ذهن افراد رو درگیر می‌کند این است که روش‌های ایمپلنت دندان از صفر تا صد دقیقاً به چه صورت هستند و کدام روش برای آن ها مناسب هست. واقعیت این است که بسته به شرایط فک، تعداد دندان‌های از دست‌رفته و حتی بودجه فرد، روش‌های مختلفی برای کاشت ایمپلنت وجود دارد؛ از ایمپلنت تک دندان گرفته تا ایمپلنت کامل فک یا حتی روش‌های سریع مثل ایمپلنت فوری. مهم‌تر از همه، مشورت با یه دندانپزشک باتجربه می‌تواند کمک کند تا بهترین روش انتخاب شود؛ روشی که هم با شرایط جسمی بیمار هماهنگ باشد و هم نتیجه‌ای طبیعی و ماندگار ایجاد کند.

ایمپلنت دندان از صفر تا صد

انواع روش‌های پیوند استخوان برای ایمپلنت دندان

در درمان‌های مدرن، چند نوع روش پیوند استخوان برای ایمپلنت دندان بسته به شدت تحلیل استخوان، محل و الگوی تحلیل و نیازهای عملکردی بیمار انجام می‌شود:

۱. اتوگرافت (Autograft): در این روش، استخوان از بخش دیگری از بدن خود بیمار (معمولاً چانه، فک، یا حتی لگن) برداشته می‌شود و در ناحیه تحلیل یافته پیوند زده می‌شود.

۲. آلوگرافت (Allograft): در این حالت از استخوان تهیه‌شده از اهداکننده یا بانک استخوان که استریل و آماده شده استفاده می‌شود. آلوگرافت‌ها به‌صورت گسترده در جراحی‌های ایمپلنت استفاده می‌شوند و میزان موفقیت بالایی دارند.

۳. زنوگرافت و مواد مصنوعی: استخوان‌های تهیه‌شده از منابع حیوانی یا مواد مصنوعی نیز در شرایط خاص به‌کار می‌روند، به‌ویژه زمانی که حجم تحلیل استخوان محدودتر است یا بیمار نمی‌خواهد از بخش‌های دیگر بدن خود استخوان گرفته شود.

هر یک از این روش‌ها در ترکیب با تکنیک‌هایی مانند افزایش ریج (Ridge Augmentation) یا لیفت سینوس در فک بالا قابل استفاده هستند تا شرایط بهینه برای پیوند و سپس نصب ایمپلنت فراهم شود.

ایمپلنت دیجیتال چیست؟

ایمپلنت دیجیتال یکی از پیشرفته‌ترین روش‌های کاشت دندان است که با استفاده از تکنولوژی‌های مدرن، دقت و سرعت درمان را به طور چشمگیری افزایش می‌دهد. در این روش، از ابزارهای دیجیتالی مانند اسکنرهای سه‌بعدی، نرم‌افزارهای شبیه‌سازی کامپیوتری و چاپگرهای سه‌بعدی برای برنامه‌ریزی و اجرای دقیق کاشت ایمپلنت استفاده می‌شود.

شما میتوانید با مطالعه مقاله روش‌های جدید ایمپلنت بدون درد؛ از دیجیتال تا لیزری در وبسایت دکترمهاجرفر با ایمپلنت دندان از صفر تا صد دیجیتال و بدون درد بیشتر آشنا شوید.

5 مزیت مهم ایمپلنت دیجیتال

  1. دقت بالا در جایگذاری:
    با استفاده از اسکن سه‌بعدی و شبیه‌سازی کامپیوتری، محل دقیق قرارگیری فیکسچر در استخوان فک مشخص می‌شود. این کار احتمال خطا را به حداقل می‌رساند.
  2. زمان کمتر برای درمان:
    به دلیل برنامه‌ریزی دقیق و ابزارهای مدرن، فرآیند کاشت ایمپلنت دیجیتال نسبت به روش‌های سنتی سریع‌تر انجام می‌شود.
  3. راحتی بیشتر برای بیمار:
    در این روش، نیاز به برش گسترده لثه کاهش می‌یابد که این امر باعث درد و خونریزی کمتر می‌شود.
  4. طراحی سفارشی تاج دندان:
    تاج دندان با استفاده از فناوری چاپ سه‌بعدی به صورت کاملاً سفارشی و هماهنگ با دندان‌های بیمار طراحی و تولید می‌شود.
  5. نتایج طبیعی‌تر و زیباتر:
    به دلیل هماهنگی دقیق تاج و فیکسچر، ظاهر دندان ایمپلنت‌شده کاملاً طبیعی و مشابه دندان‌های دیگر خواهد بود.
ایمپلنت دندان از صفر تا صد

مراقبت‌های بعد از ایمپلنت دندان

ایمپلنت دندان یک روش موثر و ماندگار برای جایگزینی دندان‌های از دست رفته است، اما موفقیت این درمان به میزان زیادی به مراقبت‌های پس از عمل بستگی دارد. رعایت نکات و دستورالعمل‌های مراقبتی می‌تواند به بهبود سریع‌تر، جلوگیری از عوارض و افزایش دوام ایمپلنت کمک کند. در ادامه، مراقبت‌های ضروری بعد از ایمپلنت دندان از صفر تا صد به طور کامل توضیح داده شده است:

۱- مراقبت‌های اولیه پس از جراحی

  • کنترل خونریزی:
    خونریزی خفیف پس از جراحی طبیعی است. گاز استریل قرار داده‌شده روی محل جراحی را حداقل به مدت 30 دقیقه فشار دهید و از شستشوی دهان یا تف کردن شدید پرهیز کنید.
  • پرهیز از مصرف غذاهای داغ:
    در 24 ساعت اول، از مصرف غذاها و نوشیدنی‌های داغ خودداری کنید تا محل جراحی تحریک نشود.
  • استفاده از کمپرس یخ:
    برای کاهش تورم و التهاب، کمپرس یخ را به مدت 15 دقیقه روی گونه قرار دهید و سپس 15 دقیقه استراحت دهید.
  • اجتناب از فعالیت‌های سنگین:
    در روزهای اول از فعالیت‌های شدید بدنی که می‌تواند فشار خون را افزایش دهد، خودداری کنید.

۲- مصرف داروهای تجویزشده

  • آنتی‌بیوتیک‌ها:
    داروهای آنتی‌بیوتیک تجویزشده توسط دندان‌پزشک را طبق دستور مصرف کنید تا از بروز عفونت جلوگیری شود.
  • مسکن‌ها:
    برای کنترل درد و ناراحتی، از مسکن‌های تجویزشده استفاده کنید. درد معمولاً در چند روز اول کاهش می‌یابد.

۳-رعایت بهداشت دهان و دندان

  1. مسواک زدن ملایم:
    از روز بعد از جراحی، با مسواک نرم به آرامی دندان‌ها و اطراف محل جراحی را تمیز کنید. مراقب باشید که به بخیه‌های ایمپلنت دندان آسیب نزنید.
  2. استفاده از دهان‌شویه:
    از دهان‌شویه تجویزشده یا آب نمک گرم (نصف قاشق چای‌خوری نمک در یک لیوان آب گرم) برای شستشوی ملایم دهان استفاده کنید. از شستشوی شدید دهان بپرهیزید.
  3. پرهیز از نخ دندان اطراف ایمپلنت:
    تا زمان بهبود کامل، از نخ دندان در اطراف محل جراحی استفاده نکنید.

۴- تغذیه مناسب

  • غذاهای نرم و مقوی بخورید:
    در روزهای اول از غذاهای نرم مانند سوپ، پوره سیب‌زمینی، ماست و اسموتی استفاده کنید. غذاهای سخت و چسبناک می‌توانند به ایمپلنت آسیب بزنند.
  • هیدراته بمانید:
    مصرف آب کافی به تسریع روند بهبودی کمک می‌کند. از نی برای نوشیدن استفاده نکنید، زیرا می‌تواند فشار ناخواسته به محل جراحی وارد کند.

۵-اجتناب از عادات مضر

  • سیگار و الکل ممنوع:
    سیگار و الکل می‌توانند فرآیند بهبود را مختل کرده و خطر عفونت یا شکست ایمپلنت را افزایش دهند. بهتر است حداقل تا دو هفته پس از جراحی از این موارد اجتناب کنید.
  • پرهیز از جویدن اشیا سخت:
    از گاز گرفتن ناخن، جویدن یخ یا باز کردن اشیا با دندان خودداری کنید، زیرا این کارها می‌توانند به ایمپلنت آسیب بزنند.

۶-مراجعه منظم به دندان‌پزشک

  • بررسی و معاینه دوره‌ای:
    پس از جراحی، دندان‌پزشک زمان‌بندی مراجعات بعدی را مشخص می‌کند. این معاینات برای بررسی وضعیت ایمپلنت و جلوگیری از بروز مشکلات ضروری است.

۷-توجه به علائم هشداردهنده

  • در صورت مشاهده موارد زیر سریعاً به دندان‌پزشک مراجعه کنید:
    • درد شدید و مداوم
    • تورم بیش از حد یا گسترش تورم
    • خونریزی غیرطبیعی
صفر تا صد ایمپلنت دندان

هزینه ایمپلنت دندان از صفر تا صد چقدر است؟

هزینه صفر تا صد ایمپلنت دندان به عوامل متعددی بستگی دارد که از مهم‌ترین آن‌ها می‌توان به تعداد دندان‌های نیازمند ایمپلنت اشاره کرد. اگر تنها یک دندان از دست رفته باشد، هزینه کمتر خواهد بود، اما برای جایگزینی چندین دندان یا کل دهان، هزینه به میزان قابل توجهی افزایش پیدا می‌کند. در برخی موارد، ممکن است از ایمپلنت‌های چندتایی برای پشتیبانی از پروتزهای بزرگ‌تر استفاده شود که این امر نیز می‌تواند هزینه کلی را افزایش دهد.

علاوه بر این، وضعیت استخوان فک و کیفیت ایمپلنت تأثیر زیادی بر هزینه دارند. اگر استخوان فک تحلیل رفته باشد یا تراکم کافی برای نگهداری پایه ایمپلنت وجود نداشته باشد، جراحی‌های تکمیلی مانند پیوند استخوان یا بالا بردن سینوس مورد نیاز خواهد بود که هزینه اضافی و زمان بیشتری را به درمان اضافه می‌کند. همچنین، کیفیت ایمپلنت و برند آن نیز نقش مهمی دارند؛ ایمپلنت‌های ساخت سوئیس، آلمان یا آمریکا که از مواد باکیفیت و دوام بالایی برخوردارند، معمولاً گران‌تر از برندهای دیگر هستند، اما انتخابی مطمئن‌تر محسوب می‌شوند.

سوالات متداول صفر تا صد ایمپلنت دندان

آیا ایمپلنت دندان دردناک است؟
فرآیند ایمپلنت معمولاً تحت بی‌حسی موضعی انجام می‌شود و بیمار در طول جراحی دردی احساس نمی‌کند. ممکن است بعد از جراحی کمی درد یا تورم وجود داشته باشد که با مسکن‌های تجویزشده کنترل می‌شود.

چه مدت طول می‌کشد تا ایمپلنت دندان از صفر تا صد کامل شود؟
کل فرآیند ایمپلنت، از کاشت پایه تا نصب تاج دندان، بسته به وضعیت بیمار و میزان نیاز به آماده‌سازی استخوان، ممکن است بین 3 تا 9 ماه طول بکشد.

طول عمر ایمپلنت دندان چقدر است؟
با رعایت بهداشت دهان و دندان و مراقبت مناسب، صفر تا صد ایمپلنت دندان می‌تواند مادام‌العمر دوام داشته باشد. عواملی مانند سیگار کشیدن یا بیماری‌های دهانی می‌توانند طول عمر آن را کاهش دهند.

چه کسانی نمی‌توانند ایمپلنت دندان انجام دهند؟
افرادی که استخوان فک کافی ندارند و حاضر به جراحی پیوند استخوان نیستند، کسانی که بیماری‌های لثه پیشرفته دارند یا بیماری‌های کنترل‌نشده مانند دیابت دارند، ممکن است برای ایمپلنت مناسب نباشند.

هزینه ایمپلنت دندان چقدر است؟
هزینه ایمپلنت به عوامل مختلفی مانند تعداد دندان‌های نیازمند ایمپلنت، وضعیت استخوان فک، کیفیت ایمپلنت و محل کلینیک بستگی دارد. برای برآورد دقیق هزینه، مشاوره با دندان‌پزشک ضروری است.

آیا ایمپلنت دندان قابل جایگزینی است؟
در صورت آسیب دیدن تاج یا مشکلات نادر در پایه، امکان تعمیر یا جایگزینی ایمپلنت وجود دارد. با این حال، با مراقبت مناسب، این مشکلات بسیار نادر هستند.

آیا سیگار کشیدن روی ایمپلنت دندان تأثیر می‌گذارد؟
بله، سیگار کشیدن می‌تواند روند بهبودی استخوان فک را مختل کرده و خطر عفونت یا شکست ایمپلنت را افزایش دهد. ترک یا کاهش سیگار برای موفقیت درمان توصیه می‌شود.

ارسال برای دوستان:

امتیازات این مقاله:

5/5 – (1 امتیاز)
ارسال برای...

8 پاسخ

  1. سلام وقتتون به خیر خانم دکتر من ایمپلنت انجام دادم از دهان شویه میتونم استفاده کنم؟

    1. سلام وقت شما هم به خیر طبق دستور و تجویز پزشکتون بعد از ایمپلنت دندان میتونید از دهان شویه استفاده کنید.

  2. سلام، همیشه برام سوال بود که آیا ایمپلنت درد داره یا نه؟ همچنین ممنون میشم توضیح بیشتری بدید بین ایمپلنت تیتانیوم یا زیرکونیا کدوم گزینه بهتره؟

    1. سلام دوست عزیز، ایمپلنت دندان با بی‌حسی موضعی انجام می‌شه، بنابراین در حین جراحی دردی احساس نمی‌کنید، اما ممکنه بعد از عمل کمی ناراحتی داشته باشید که با داروهای تجویز شده کنترل می‌شه. در مورد انتخاب بین ایمپلنت تیتانیوم یا زیرکونیا، بستگی به شرایط دندانی و حساسیت‌های شما داره؛ ایمپلنت تیتانیومی رایج‌تره و استحکام بالایی داره، اما زیرکونیا برای افرادی که به فلز حساسیت دارند گزینه مناسبیه. اگر سوال دیگه‌ای داشتید، در خدمت شما هستیم.

    1. اگر فردی به فلز حساسیت داره یا به دنبال گزینه ای کاملا بی فلز هست ایمپلنت زیرکونیا انتخاب بهتری محسوب میشه. البته ایمپلنت تیتانیوم هم بسیار پرکاربرد و مقاومه در مورد درد ایمپلنت هم خیالتون راحت باشه، چون با بی‌حسی موضعی انجام میشه و درد بسیار خفیف و قابل کنترل هست

  3. من یه مدته دارم در مورد ایمپلنت تحقیق می‌کنم اما هنوز یه کم از عملش می‌ترسم.
    می‌خواستم بدونم کاشت ایمپلنت چقدر درد داره؟ قابل تحمله یا نیاز به چند روز استراحت داره؟

    1. شیوا جان نگران نباش. عمل ایمپلنت با بی‌حسی کامل انجام میشه و درد خاصی حس نمی‌کنین.
      بعد از جراحی هم با رعایت توصیه‌ها و مصرف داروهای تجویز‌شده، ممکنه یکی دو روز احساس سنگینی یا تورم خفیف وجود داشته باشه. طبیعی و زودگذره و جای نگرانی نیست.

دیدگاهتان را بنویسید

نشانی ایمیل شما منتشر نخواهد شد. بخش‌های موردنیاز علامت‌گذاری شده‌اند *